Mais Artigos
O que é a doença Creutzfeldt-Jakob, que afeta o cérebro e causou mortes na Bahia
Autoridades de saúde da Bahia confirmaram, nesta segunda-feira (10) , cinco casos da doença Creutzfeldt-Jakob (DCJ). De acordo com a Secretaria da Saúde da Bahia (Sesab), duas pessoas morreram. Outras três pessoas estão infectadas, e duas delas estão hospitalizadas. Apesar de sintomas semelhantes, os casos não têm relação com o consumo de carne contaminada pela Encefalite Espongiforme Bovina – popularmente conhecida como “vaca louca”.
Os casos são investigados pela Sesab e pelo Ministério da Agricultura, Pecuária e Abastecimento (Mapa).
Segundo a Organização Mundial de Saúde, Creutzfeldt-Jakob (DCJ), é uma doença degenerativa, que não tem uma causa definida. Porém, uma das variantes da comorbidade é causada pelo consumo de carne contaminada pela “vaca louca”.
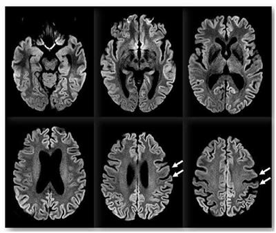
A doença é capaz de provocar desordem cerebral com perda de memória e tremores. Além disso, possui rápida evolução, e de forma inevitável, leva à morte do paciente.
Segundo a OMS, para definição de um caso suspeito da doença se baseia nas análises dos exames, sinais e sintomas e história epidemiológica do paciente. Desta forma, o caso pode ser definido como possível, provável e definitivo, mas a confirmação final só pode ser feita por meio da necropsia com a análise neuropatológica de fragmentos do cérebro. Porém, ainda não existe nenhum tratamento eficaz, no entanto o objetivo é aliviar a dor e os sintomas.
Qual a diferença da doença de Creutzfeldt-Jakob da doença da vaca louca?
Apesar de ser confundida com o ‘mal da vaca louca’, a doença de Creutzfeldt-Jakob não está relacionada com o consumo de carne de boi.
Enquanto a Encefalopatia Espongiforme Bovina (EEB), nome oficial da doença da “vaca louca”, é uma enfermidade degenerativa, crônica e fatal que afeta o sistema nervoso central de bovinos e bubalinos. A DCJ é uma identificada como uma espécie de Encefalopatia Espongiforme Transmissível Humana (EETH) que causa demência em seres humanos.
O que costuma confundir o diagnóstico das duas doenças é devido a existência da variante da doença de Creutzfeldt-Jakob (vDCJ), que acomete pessoas que consumiram carne ou derivados contaminados com a Encefalopatia Espongiforme Bovina (EEB).
Principais formas clínicas de Creutzfeldt-Jakob são:
- Esporádica: A maioria dos casos de DCJ acontece pela forma esporádica (85%). Afeta geralmente pessoas entre 55 a 70 anos (média de 65 anos) e é discretamente mais prevalente em mulheres. Mundialmente apresenta uma incidência estável e descrita de 1 a 2 casos novos a cada 1.000.000 de habitantes. Considerando que o risco de desenvolver DCJ aumenta com a idade, em pessoas com mais de 50 anos a taxa anual é de aproximadamente 3,4 casos por milhão. Esta forma da doença não apresenta causa e fonte infecciosa conhecida, nem relação de transmissibilidade comprovada de pessoa a pessoa.
- Hereditária: Entre 10 a 15% dos casos de DCJ acontecem por mutação hereditária no príon, decorrente de uma mutação no gene que codifica a produção da proteína priônica.
- Iatrogênica: Acontece como consequência de procedimentos cirúrgicos (transplantes de dura-máter e córnea) ou por meio do uso de instrumentos neurocirúrgicos ou eletrodos intracerebrais contaminados. Mais de 250 pacientes em todo o mundo foram associados a esta forma (menos de 1% dos casos).
- Variante da Doença de Creutzfeldt–Jakob (vDCJ): É uma outra doença priônica, que está associada ao consumo de carne e subprodutos de bovinos contaminados com Encefalite Espongiforme Bovina (Doença da “Vaca Louca”). Esta doença acomete predominantemente pessoas jovens, abaixo dos 30 anos. O primeiro caso mundial de possível transmissão sanguínea da nova variante da vDCJ foi divulgado recentemente pelo Ministério da Saúde da Grã-Bretanha.
Fonte: BBC News Brasil


















